Breakthrough Study Reveals How NOD2 Mutation Fuels Crohn's Disease, Paving Way for New Treatments
October 29, 2025
A Crohn’s-associated NOD2 mutation disrupts the NOD2–girdin partnership, driving disease by skewing macrophage behavior away from gut homeostasis and toward inflammation, with potential therapies aimed at restoring this interaction.
The findings explain how the genetic mutation shapes Crohn’s disease development and point to treatments that rebalance gut immune responses by reinstituting the NOD2–girdin axis.
The study cites a distinct set of macrophages linked to colitis that drive NOD2-dependent bacterial sensing and contribute to gut homeostasis, published in JCI in early October 2025.
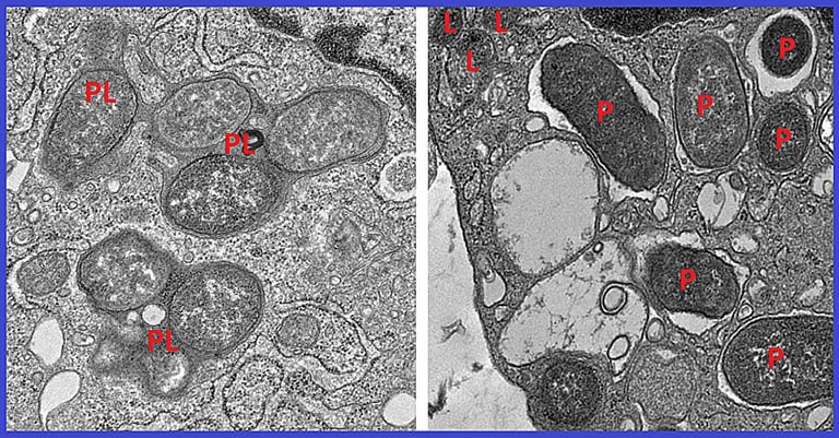
Researchers identified a 53-gene signature that differentiates inflammatory macrophages from tissue-healing macrophages in the gut, illuminating how macrophage states influence Crohn’s disease.
Within both diseased and healthy colon tissue, girdin emerges as a key protein in non-inflammatory, tissue-healing macrophages, as revealed by the gene signature analysis.
Mouse studies show that loss of girdin leads to gut microbiome imbalance, intestinal inflammation, and a higher risk of sepsis, underscoring the critical NOD2–girdin interaction in gut health.
The absence of girdin in mice correlates with microbiome disruption, gut inflammation, and sepsis-related mortality, highlighting girdin’s essential role in maintaining gut homeostasis.
Researchers at UC San Diego used AI fused with molecular biology to map how macrophages choose between inflammatory and tissue-healing roles in the gut, addressing a Crohn’s question tied to NOD2.
The team emphasizes that AI enabled precise identification and tracking of macrophage subtypes, advancing understanding of Crohn’s disease and informing potential treatments.
This work helps resolve a 25-year mystery about the NOD2 gene’s role in Crohn’s disease by combining AI insights with molecular biology techniques.
In non-inflammatory macrophages, a region of NOD2 binds girdin to suppress excessive inflammation, clear microbes, and promote tissue repair, while most common Crohn’s mutations delete this girdin-binding region, causing imbalance.
Under healthy conditions, NOD2 interacts with girdin to maintain gut immune balance through inflammation suppression and tissue repair; mutations often remove the girdin-binding region, tipping the balance toward disease.
Summary based on 2 sources
Get a daily email with more Science stories
Sources

Medical Xpress • Oct 27, 2025
Rebalancing the gut: How AI solved a 25-year Crohn's disease mystery
SciTechDaily • Oct 29, 2025
Researchers Solve 25-Year Crohn’s Disease Mystery