Cancer Cells Hijack Embryonic Programs: New Targets for Treatment and Early Detection
October 17, 2025
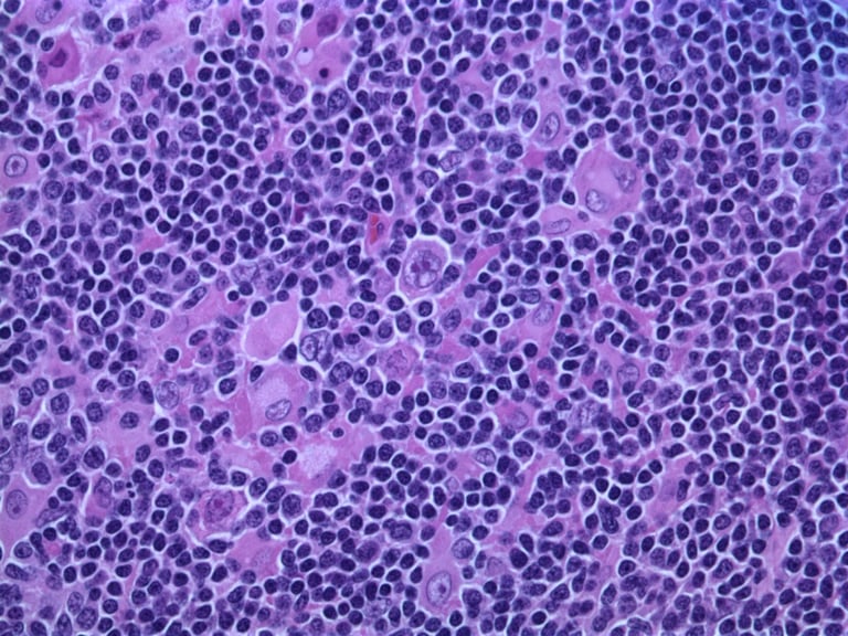
New research published in Nucleic Acids Research reveals that cancer cells hijack embryonic genetic programs and splicing factors—proteins that modify RNA—to promote tumor growth and adaptability.
Cancer reactivates genes and proteins active during early development, giving tumors embryonic-like features that support aggressive growth.
The study demonstrates that cancer cells selectively re-express splicing factors from early embryogenesis, rewiring RNA splicing to increase growth-promoting variants and drive tumorigenesis.
Targeting specific splicing factors with drugs could potentially disrupt this network, offering a new approach to slow or halt tumor growth.
This research suggests that early changes in splicing factor activity could serve as biomarkers for early cancer detection, and pharmacological targeting may provide new therapeutic strategies.
The findings offer insights into cancer's resilience and suggest new treatment avenues by focusing on the cell’s gene editing machinery, particularly splicing factors.
Rewiring the cell's gene editors explains cancer's robustness and adaptability, highlighting the potential of targeting specific splicing factors for early detection and therapy.
Researchers used artificial intelligence to analyze gene activity patterns, enabling early detection of splicing factor reprogramming in cancer.
Advanced molecular biology techniques combined with AI allowed scientists to analyze gene expression data, revealing vulnerabilities in cancer's gene regulation networks.
AI-driven analysis of gene activity patterns helps detect changes in splicing factors more efficiently than traditional methods, supporting early diagnosis.
Reprogramming of splicing regulators is part of broader cellular rewiring that shifts healthy growth into malignant proliferation.
Oncogenes like MYC disrupt the balance of splicing factors, triggering a cascade that favors growth-promoting variants and contributes to tumor development.
The activation of MYC amplifies growth-promoting splicing factors while suppressing growth-inhibiting ones, effectively flipping the cell into a malignant state.
Research shows that oncogenes like MYC cause a ripple effect, switching on factors that promote proliferation and silencing those that inhibit tumor growth.
Summary based on 3 sources
Get a daily email with more Science stories
Sources

Medical Xpress • Oct 17, 2025
Cancer cells reactivate embryo-like gene editors to fuel growth, research reveals
News-Medical • Oct 17, 2025
Cancer hijacks embryonic gene editors to fuel growth
BIOENGINEER.ORG • Oct 17, 2025
Cancer Cells Harness Embryonic Gene Editors to Drive Tumor Growth