Breakthrough 3D Bioprinting Platform Revolutionizes Diabetes Treatment with Enhanced Pancreatic Bioink
March 20, 2025
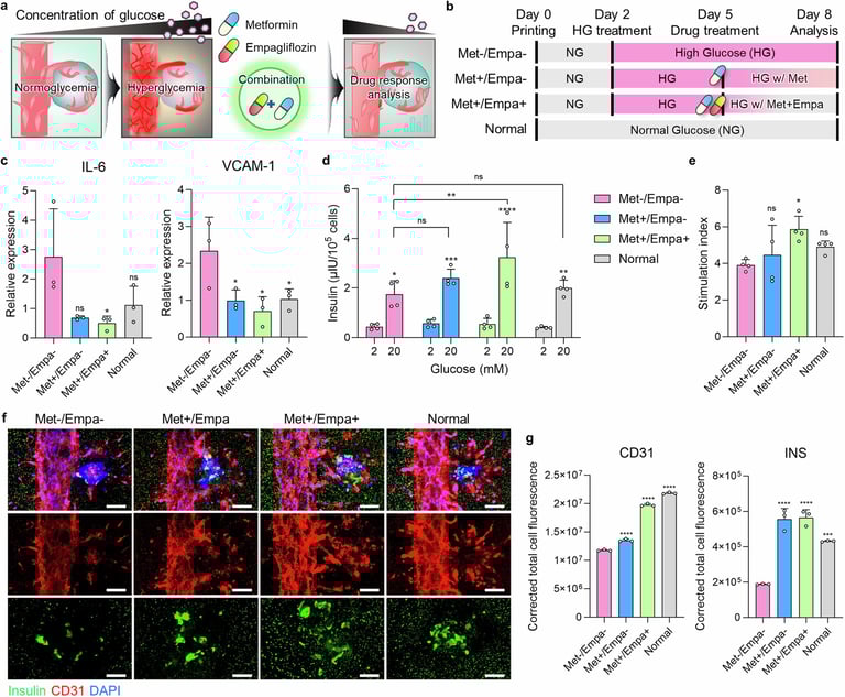
The HICA-V platform can simulate diabetic conditions, including inflammatory gene expression, which aids in the maturation of islets and serves as a valuable resource for diabetes research and drug development.
Published in Nature Communications, this study addresses the significant challenges faced in producing functional islet cells for diabetes therapy.
Diabetes is primarily caused by pancreatic dysfunction, particularly in insulin-secreting islet cells, which have been challenging to produce in vitro due to the need for an appropriate microenvironment.
A research team led by Professor Jinah Jang at Pohang University of Science and Technology (POSTECH) has developed an innovative platform for diabetes treatment utilizing 3D bioprinting technology and a specialized bioink derived from pancreatic tissue.
This bioink, named PINE (Peri-islet Niche-like ECM), incorporates extracellular matrix and basement membrane proteins from actual pancreatic tissue, enhancing the platform's ability to mimic the natural pancreatic environment.
The team created the Human Islet-like Cellular Aggregates and Vasculature (HICA-V) platform, which organizes stem cell-derived islet cells alongside vascular structures to accurately replicate the architecture of the endocrine pancreas.
Islet cells cultured within the HICA-V platform demonstrated increased insulin production and functional characteristics comparable to native islets, indicating improved effectiveness for potential therapies.
Professor Jang highlighted that this platform not only enhances islet maturation but also supports the development of anti-diabetic drugs and transplantation therapies.
The research received funding from various South Korean government agencies, including the National Research Foundation of South Korea and the Ministry of Science and ICT.
Summary based on 3 sources
Get a daily email with more Science stories
Sources

ScienceDaily • Mar 19, 2025
Shaping the future of diabetes treatment with 3D bioprinting technology
EurekAlert! • Mar 19, 2025
Shaping the future of diabetes treatment with 3D biorinting technology
Medical Xpress • Mar 19, 2025
Diabetes treatment approach replicates pancreatic functions with bioink and 3D bioprinting technology